關閉
聲明:本所療程皆由專業醫生評估後,依照個人口腔狀況進行治療。因每位患者個別狀況不同,術後狀況也不盡相同,需親來本所由醫生評估。
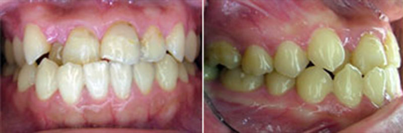
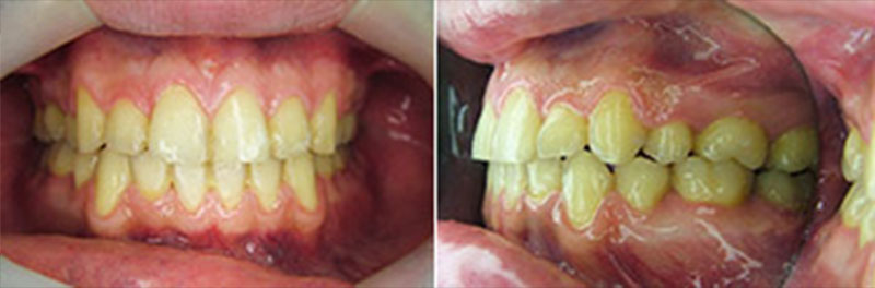
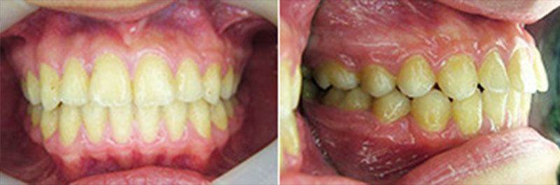
矯正前

矯正

矯正後
矯正
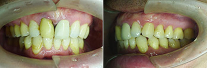
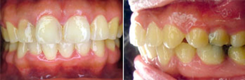
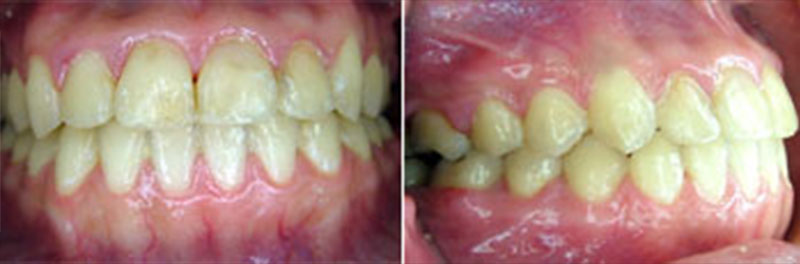
矯正前

矯正

矯正後
矯正
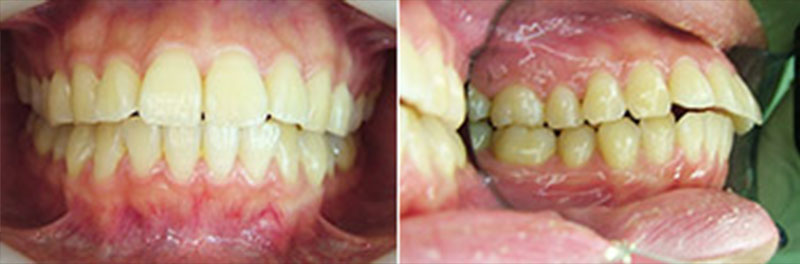
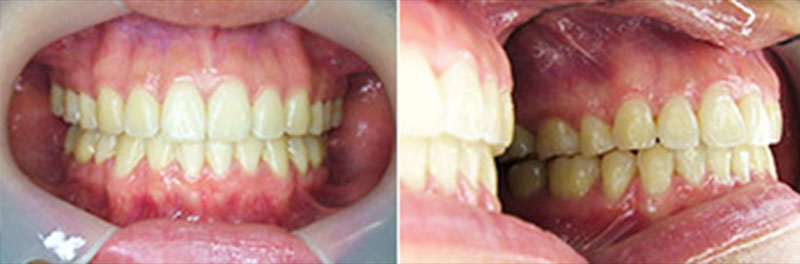
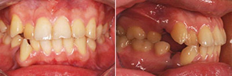
矯正前

矯正

矯正後
矯正
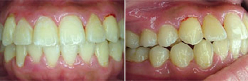
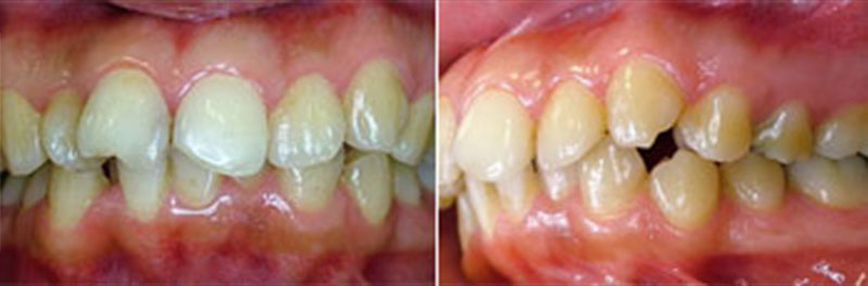
矯正前

矯正

矯正後
矯正
矯正前

矯正

矯正後
矯正
矯正前

矯正

矯正後
矯正
矯正前

矯正

矯正後
矯正
矯正前

矯正

矯正後
矯正

達美牙醫提供 : 桃園中壢牙齒矯正服務,歡迎來電預約 03-2200088

關閉